Mengintip Dunia Patologi: Seni dan Sains Mendeteksi Penyakit Lewat Mikroskop
Riset dan Teknologi | 2025-12-07 22:37:03Ketika seseorang menjalani operasi atau biopsi, sebagian jaringan tubuhnya dikirim ke laboratorium patologi. Di tempat inilah diagnosis banyak penyakit ditentukan. Yang mungkin tidak disadari masyarakat adalah bagaimana potongan jaringan yang sangat kecil dapat mengungkap apa yang sebenarnya terjadi di dalam tubuh. Melalui irisan jaringan mikro, patolog dapat memastikan ada tidaknya kanker, infeksi, peradangan, gangguan hormonal, hingga kerusakan organ.
Proses ini dimulai dari tahap paling dasar, yaitu penanganan awal terhadap sampel. Jaringan yang diterima harus diperlakukan dengan sangat hati hati. Bentuk, arah potongan, dan detail anatomi harus dijaga agar informasi penting tidak hilang. Setiap organ memiliki karakteristik berbeda, sehingga teknik pemotongannya pun tidak bisa disamaratakan. Misalnya, bola mata perlu dipotong dengan satu gerakan panjang agar struktur internal seperti lensa dan retina tetap utuh, sementara saluran cerna harus dibuka memanjang agar pola lesi atau penyebaran peradangan dapat terlihat jelas.
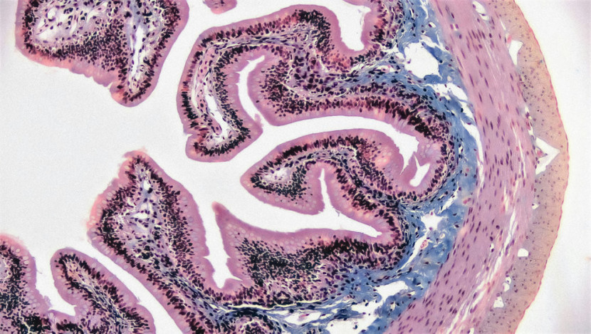
Setelah difiksasi dan dikeraskan, jaringan dipotong tipis sekali sehingga tembus cahaya. Lapisan tipis ini ditempelkan pada kaca objek dan diwarnai menggunakan teknik pewarnaan khusus. Pewarnaan inilah yang membuat struktur sel dan jaringannya tampak jelas di bawah mikroskop. Sel normal memiliki bentuk, ukuran, dan susunan tertentu. Ketika pola itu berubah, patolog dapat mengenali adanya gangguan. Misalnya, pada kanker, sel sering terlihat lebih besar, memiliki inti yang tidak beraturan, atau tumbuh saling tumpang tindih.
Saat memeriksa slide, patolog memerhatikan banyak aspek sekaligus. Mereka menilai apakah jaringan menunjukkan tanda peradangan, kerusakan, infeksi, atau perubahan yang mengarah pada keganasan. Pada infeksi misalnya, infiltrasi sel imun dan sisa organisme tertentu bisa terlihat. Pada penyakit autoimun, kerusakan jaringan biasanya mengikuti pola khas. Di sisi lain, jika dicurigai adanya kanker, patolog menilai sifat sel, batas tumor, kedalaman infiltrasi, dan kemungkinan penyebaran.
Apabila temuan awal masih belum memberikan gambaran lengkap, patolog dapat menggunakan teknik tambahan. Pewarnaan khusus dapat membantu menemukan jamur atau bakteri tertentu, sedangkan imunohistokimia dapat mengidentifikasi tipe sel dalam tumor secara lebih spesifik. Teknik ini sangat penting untuk membedakan tumor yang penampilannya mirip saat dilihat sekilas, tetapi berasal dari jenis sel yang berbeda. Pemeriksaan molekuler bahkan dapat mengungkap adanya mutasi gen yang berpengaruh terhadap pilihan terapi.
Setiap jenis jaringan menyimpan petunjuk yang berbeda. Pada payudara, patolog melihat sistem saluran dan lobulus untuk memastikan apakah ada perubahan yang mengarah ke keganasan. Pada testis, jaringan diperiksa untuk menilai proses pembentukan sperma dan kemungkinan tumor. Pada usus, tanda khas penyakit seperti Crohn atau kolitis ulseratif dapat terlihat dengan jelas. Pada plasenta, patolog dapat mengetahui adanya infeksi, gangguan aliran darah, atau penyebab kematian janin dari perubahan jaringan yang tampak.
Yang menjadikan pekerjaan ini sangat penting adalah kemampuannya menentukan arah pengobatan. Dari irisan jaringan yang tipis, dapat diperoleh informasi stadium kanker, apakah sel sudah masuk ke pembuluh darah atau kelenjar getah bening, serta seberapa agresif penyakit tersebut. Semua data ini mempengaruhi keputusan terapi seperti pembedahan lanjutan, kemoterapi, atau pengawasan jangka panjang.
Pada akhirnya, pemeriksaan histopatologi adalah cara ilmiah untuk "melihat" apa yang terjadi di dalam tubuh tanpa harus membuka seluruh organ. Patolog membaca perubahan kecil yang mewakili proses besar. Melalui potongan jaringan mikro, dokter dapat memahami kondisi pasien secara akurat dan merancang penanganan yang paling tepat. Sebuah irisan tipis yang tampak sederhana di kaca objek sebenarnya memegang peran penting dalam menentukan keselamatan dan kualitas hidup seseorang.
Disclaimer
Retizen adalah Blog Republika Netizen untuk menyampaikan gagasan, informasi, dan pemikiran terkait berbagai hal. Semua pengisi Blog Retizen atau Retizener bertanggung jawab penuh atas isi, foto, gambar, video, dan grafik yang dibuat dan dipublished di Blog Retizen. Retizener dalam menulis konten harus memenuhi kaidah dan hukum yang berlaku (UU Pers, UU ITE, dan KUHP). Konten yang ditulis juga harus memenuhi prinsip Jurnalistik meliputi faktual, valid, verifikasi, cek dan ricek serta kredibel.
