Gigi Kuning Apakah Pertanda Gigi Kotor? Ayo Cek Faktanya !
Eduaksi | 2025-11-19 16:12:56
Banyak orang mengira bahwa gigi kuning berarti gigi kotor. Padahal, sebenarnya tidak selalu begitu. Warna alami gigi manusia memang bukan putih cerah seperti di iklan. Justru secara ilmiah, gigi sehat umumnya berada pada rentang putih kekuningan hingga krem terang, tergantung ketebalan enamel dan warna dentin di bawahnya.
1. Secara alami, gigi memang cenderung kekuningan
Beberapa penelitian mengatakan warna alami gigi dibawakan oleh lapisan kedua gigi yaitu dentin. Enamel, lapisan terluar gigi, berperan kecil dalam memberikan warna pada gigi dan cenderung transparan. Sehingga warna dentin yang kekuningan akan tampak dari luar. Ini adalah warna wajar dimiliki oleh hampir semua populasi manusia. Warna putih murni sebenarnya jarang ditemukan secara alami.
Jadi, kalau gigi kamu kuning muda dan warnanya rata, bisa jadi itu adalah warna asli, bukan karena kotor.
2. Kapan gigi kuning menjadi tanda kotor?
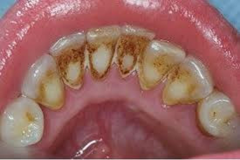
Gigi dianggap “kotor” jika warna kuningnya berasal dari noda luar (extrinsic stain). Stain ini menempel di permukaan gigi, misalnya akibat:
• Minum kopi, teh, cokelat, atau minuman berwarna gelap
• Merokok
• Sering makan makanan berwarna pekat (mis. kari, kecap, kunyit)
• Mulut jarang dibersihkan
• Penggunaan obat kumur tertentu (chlorhexidine)
• Paparan logam tertentu
Stain ini memiliki ciri:
• Warnanya tidak rata
• Cenderung kekuningan, kecokelatan, hitam, atau kehijauan
• Letaknya sering di leher gigi, sela-sela, atau daerah yang sulit dibersihkan
Stain bisa dihilangkan dengan scaling, polishing, atau perawatan kebersihan gigi yang baik. Namun jika lama-kelamaan dibiarkan bisa mempercepat pembentukan karang gigi.
3. Mengapa banyak orang Indonesia giginya tampak lebih kuning?
Bukan karena kotor, tetapi karena dua hal:
1. Warna dasar gigi manusia secara alami berada di spektrum kuning-kemerahan karena dentin, dan hal ini juga terlihat pada banyak populasi Asia. Warna ini adalah sifat fisiologis, bukan tanda kotor.
2. Perilaku konsumsi kopi, teh, bumbu pekat dan rokok semuanya umum di Indonesia dan mudah meninggalkan noda.
Jadi bukan berarti orang Indonesia giginya “kotor” tapi hasil dari Kombinasi warna alami + kebiasaan makan/minum membuat gigi cenderung terlihat lebih kuning.
4. Jadi, apakah gigi kuning selalu kotor?
Tidak selalu.
Gigi kuning bisa berarti:
• Warna asli gigi (normal dan sehat).
• Kotor karena noda luar (jika warnanya tidak rata, kehitaman, atau menempel di permukaan gigi dan banyak karang gigi).
Cara mudah membedakan:
• Warna rata berarti alami.
• Warna bercak/tidak merata dan muncul karang gigi berarti kurang bersih.
Disclaimer
Retizen adalah Blog Republika Netizen untuk menyampaikan gagasan, informasi, dan pemikiran terkait berbagai hal. Semua pengisi Blog Retizen atau Retizener bertanggung jawab penuh atas isi, foto, gambar, video, dan grafik yang dibuat dan dipublished di Blog Retizen. Retizener dalam menulis konten harus memenuhi kaidah dan hukum yang berlaku (UU Pers, UU ITE, dan KUHP). Konten yang ditulis juga harus memenuhi prinsip Jurnalistik meliputi faktual, valid, verifikasi, cek dan ricek serta kredibel.
